This tissue is often described as looking like a “Starry Night”.
What is a muscle cross section?
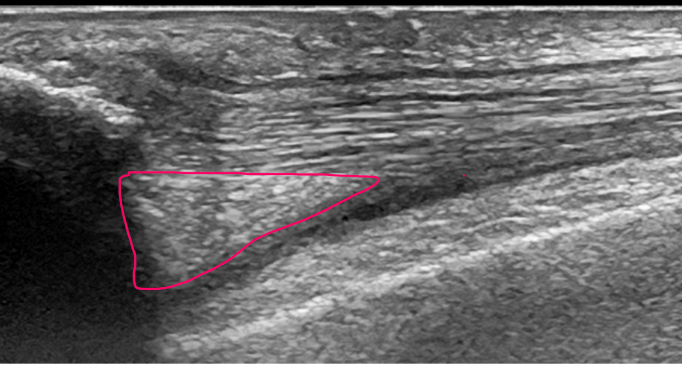
Associated findings include an enlarged mixed echogenic texture with interstitial tearing and cortical irregularity.
What is a tendinopathy?
The technical term for a bloody effusion.
What is a complex fluid collection?
When setting up scanning one makes these choices: Frequency, blank, depth and gain.
What is depth?
If used skillfully, this artifact can help differentiate between tissues such as nerves and tendons.
What is anisotropy?
This tissue appears as railroad tracks in long axis.
What is a nerve?
A defect touching a bursal or articular surface but not both.
What is a partial thickness tear?
A serous fluid collection around a tendon is known as.
What is tenosynovitis?
This side to side maneuver of the ultrasound probe is commonly used to improve the resolution of a structure.
What is a tilting or wagging maneuver?
Reverberation off a metal object produces this artifact.
What is ring down or reverberation artifact?
This term describes the pattern within a given structure.
What is echotexture?
This condition may or may not be reliably see on ultrasound of the medial or lateral joint line of the knee.
What is a meniscal tear?
The echogenic description of an atrophied muscle when compared to a normal muscle.
What is hyperechoic?
The linear or curvilinear arrangement of these objects within a probe are critical to imaging.
What are crystals?
When the ultrasound beam reflects off bone, the tissue beneath is affected by this artifact.
What is posterior acoustic shadowing?
This term describes the insertional area of a tendon or ligament.
What is the footprint?
A commonly diagnosed condition of the lateral hip that is rarely seen and makes this host apoplectic.
What is a trochanteric bursitis?
When examining a mass with ultrasound, this finding has ominous implications.
What is increased vascular signal?
This function allows for side comparison of left and right sided structures.
What is dual screen imaging?
A harbinger of pathology, this finding occurs when a tissue abutting a tear in a tendon or muscle tear drops into the tear.
What is a sag sign?
One of three such structures in the extensor mechanism of the knee, this pad is name for its position relative to the patella.

What is the suprapatellar fat pad?
When present this structure may cause ulnar nerve compression at the elbow.
What is an anconeus epitrochlearis?
This frequently diagnosed syndrome falsely accuses the muscle it is named for of radiating leg pain.

What is piriformis syndrome?
In this extended field of view image the red structure in this well known interval is one of 2 “leaders” for its muscle.

What is the long head biceps tendon?
This probe function allows better visualization of structures not perpendicular to the probe by redirecting the ultrasound beam.
What is beam steering?